白い歯・見た目のお悩み

より自然に美しく。
“白さ”も“形”も整える
セラミック治療

「歯の色が気になる」「詰め物が目立つ」「前歯の形やすき間が気になる」など、
見た目のお悩みに対して、自然な透明感とフィット感を目指す自由診療です。

※状態により、ホワイトニングや矯正の方が適切な場合もあります。まずはカウンセリングでご提案します。

お悩み別に、治療の選択肢をわかりやすく

まずは「目的」から。該当する項目をタップしてください。

歯を白くしたい

色ムラ・黄ばみなど、歯の色が気になる方はホワイトニングが第一選択になることも。

ホワイトニングへ →

歯並び・噛み合わせを整えたい

歯の位置そのものを整えたい場合は矯正治療が適するケースがあります。

矯正歯科へ →

白さ+形も整えたい

詰め物・被せ物の変色、前歯の欠け・すき間、形の左右差などにセラミック治療。

このページで詳しく →

FEATURES

セラミック治療の特徴

見た目だけでなく、フィット感や清掃性にも配慮します。

自然な透明感

周囲の歯に馴染む色味を目指し、違和感の少ない仕上がりへ。

変色しにくい

長期間使っても色調変化が起きにくく、美しさを保ちやすい素材です。

汚れが付きにくい

表面が滑沢で、プラークが付着しにくいことが期待されます。

金属を使わない設計も

メタルフリー設計により、見た目・生体親和性への配慮が可能です。

※適応はお口の状態により異なります。むし歯・歯周病の治療や噛み合わせ調整を優先する場合があります。

CASE

治療例

「どう変わるの?」がイメージできるよう、症例の流れと費用例を掲載します。
※記載されている表示金額は消費税別です。

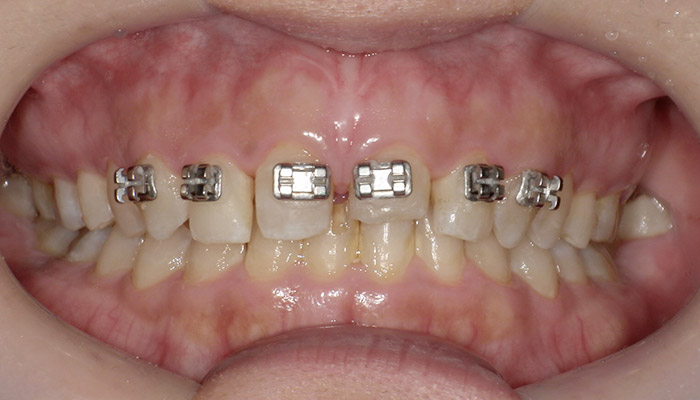
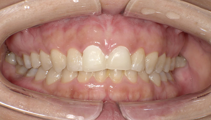
前歯2本の位置と形が気になる

部分的な矯正治療で前歯の位置関係を整えたうえで、セラミッククラウン(ジルコニア)にて治療しました。

そのままセラミッククラウンで治療した場合、前歯のすき間が大きいため、歯のサイズが全体のバランスと合わなくなる可能性がありました。
そのため、部分的な矯正治療を併せて行っています。
なお、費用は変わりますが、ワイヤー矯正ではなくマウスピース矯正でも、前歯の位置を改善することが可能です。

費用例(自由診療)
  • 部分矯正:150,000円
  • 仮歯:2,000円 × 2本 = 4,000円
  • セラミッククラウン(ジルコニア):110,000円 × 2本 = 220,000円

合計:374,000円

施術前

部分矯正期間

仮歯

施術後

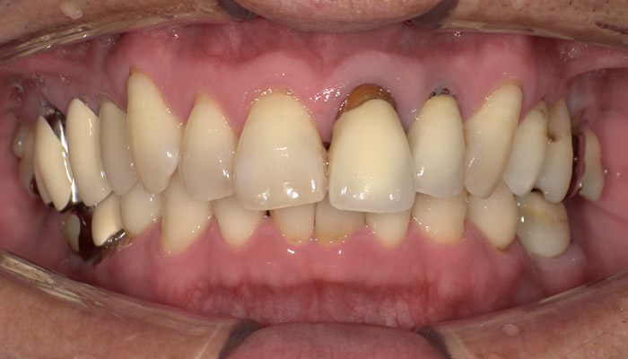
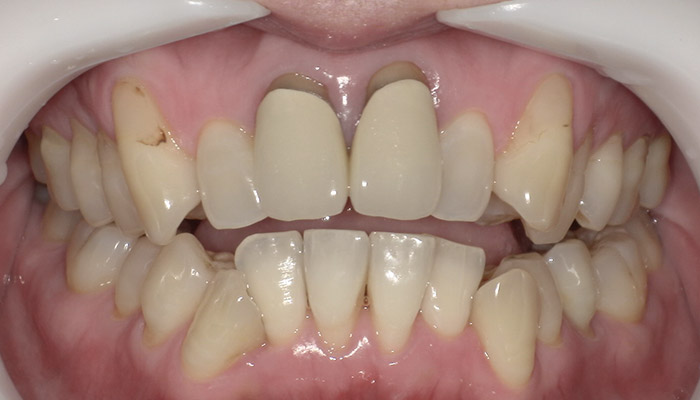
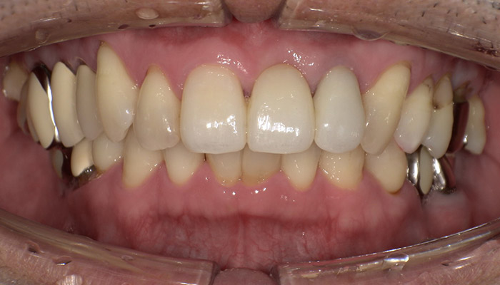
前歯4本のサイズ、形が気になる

天然歯(神経が生きている歯)のため、なるべく削らない方法で治療しました。

中央の2本の歯は、歯を削らずにセラミックを貼り付ける方法で治療しています。
右側の歯は、表面をわずかにだけ削り、表側のみにセラミックを貼り付けています。
左側の歯は、すでに神経の治療が行われていたため、将来的な変色の可能性を考慮し、セラミッククラウン(被せ物)で治療しています。

費用例(自由診療)
  • セラミックアディクショナルベニア:90,000円 × 2本 = 180,000円
  • ラミネートベニア:90,000円 × 1本 = 90,000円
  • セラミッククラウン(e-max):95,000円 × 1本 = 95,000円

合計:365,000円

施術前

施術後

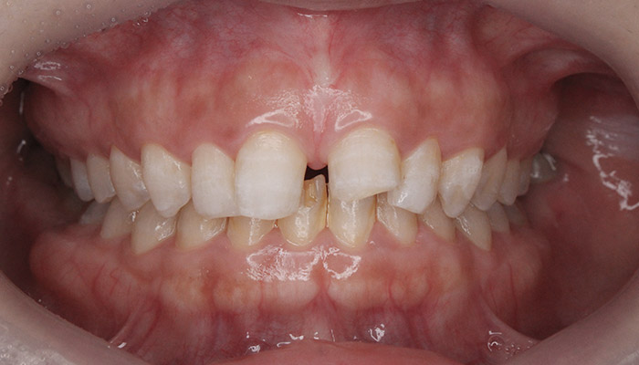
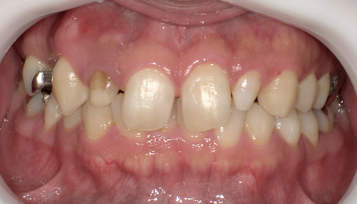
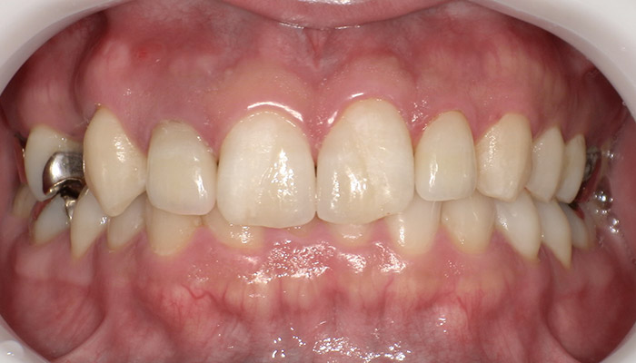
前歯の色と隙間が気になる

先にホワイトニングを行ったうえで、前歯2本をセラミッククラウン(ジルコニア)にて治療しました。

費用例(自由診療)
  • ホームホワイトニング:25,000円
  • セラミッククラウン(ジルコニア):110,000円 × 2本 = 220,000円

合計:245,000円

施術前

施術後

右側の前歯の、歯茎のきわの隙間と色が気になる

前歯2本をセラミッククラウン(e-max)にて治療しました。

費用例(自由診療)
  • セラミッククラウン(e-max):95,000円 × 2本 = 190,000円

合計:190,000円

施術前

施術後

FLOW

治療の流れ

「何をするのか」を見える化して、不安を減らします。

資料取り(写真・型取り)のイメージ

1資料取り(写真・型取り)

お口の写真撮影や型取り(またはスキャン)を行い、歯の形・色・噛み合わせを確認します。治療後のイメージづくりに必要な情報を丁寧に集めます。

シミュレーションのイメージ

2シミュレーション

模型やデジタル画像で「こう変わります」を共有します。色味・形・長さの希望をすり合わせ、仕上がりの方向性を一緒に決めていきます。

形成・印象(型取り)のイメージ

3形成・印象(型取り)

必要に応じて歯の形を整え、精密な型取り(シリコン印象/デジタルスキャン)を行います。適合性に関わる工程なので、丁寧に進めます。

仮歯のイメージ

3.5仮歯(必要に応じて)

最終物が入る前に仮歯で見た目や話しやすさを確認します。形や長さの微調整を行い、納得感のあるゴールへ近づけます。

製作工程(CAD/CAM等)のイメージ

4製作(院内/技工所)

スキャンデータや模型をもとに、セラミックを設計・製作します。精度と美しさの両立を目指し、細部まで確認しながら仕上げます。

装着・完成のイメージ

5装着・完成

色・形・噛み合わせを最終確認し、お口の中にセットします。装着後も長く美しさを保てるよう、清掃方法やメンテナンスをご案内します。

※工程や回数は症状により変わります。むし歯・歯周病治療を先に行う場合があります。

EQUIPMENT

設備紹介

「精度」と「スピード」を支える機器で、負担軽減も目指します。

スキャナーやセレックシステムのイメージ

セレックシステム/口腔内スキャナー など

デジタルスキャンにより、型取りの負担軽減や、設計・製作の精度向上を目指します。
症例によっては、従来のシリコン印象を用いる場合もあります。

  • スキャンによる口腔内情報の取得
  • 設計(CAD)・削り出し(CAM)による補綴物製作
  • 噛み合わせや適合の確認

PRICE

治療方法と費用

素材・設計により異なります。詳細は料金表ページをご確認ください。

セラミックの種類(例:インレー/クラウン/ベニア等)と費用について

種類・費用を見る

※自由診療です。診断の結果、別の治療が適切な場合もあります。

ご予約・ご相談はお気軽にお電話ください

0547-35-4618
Google Mapで開く