ホワイトニング
ホワイトニングとは

歯本来の白さを取り戻す。ホワイトニングとは、加齢や遺伝により黄色くなっている歯を削らずに専用の薬剤を使って白くする、歯にやさしい審美治療です。蓄積した着色を漂白し、あなたの歯本来の白さを取り戻します。
より安全で確実な効果を得るために、まずはお口の中を健康な状態にしてからホワイトニングを行います。
自宅でホワイトニング

ホームホワイトニングとは、医院で型取りをした専用のマウスピースを、ご自宅でマウスピースの中に薬剤を入れ1日2時間程度装着することで歯を白くしていく方法です。
毎日行うことで、自然と歯が白くなっていきます。
ご自身のペースで行うことができるため、しみる症状をコントロールできますが、白くなるまで時間がかかることがデメリットです。
しかし、自身が納得のいく白さまでホワイトニングすることができ、後戻りがしにくいのが特徴です。
費用:20,000円(税別)
治療の流れ
① 問診、口腔内確認
お口の中を確認し、虫歯や歯周病の進行などをチェックします。
② 型取り
ホワイトニング用のマウスピース製作のための型取りをします。
この時、現在の歯の色を確認し、歯のクリーニングも行います。
③ ホワイトニング開始
ホワイトニング用マウスピースを装着。この日よりホワイトニングを開始します。
④ 歯の色の確認、クリーニング
2週間のホワイトニング期間が終了したら、歯の色の確認を行います。
最後に歯のクリーニングを行います。
※写真はイメージです。効果は個人差があります。
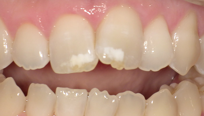
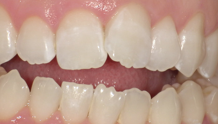
ホワイトスポット(白い斑点)治療

ホワイトスポットなどの白い斑点を
歯を削らずに特殊な薬剤で治療。ホワイトスポットと呼ばれている歯の表面の白い斑点は、歯のエナメル質のカルシウム成分が少なくなり、脱灰という虫歯の初期症状を起こして、白濁してしまう現象です。
従来までは白い部分を削って詰める、セラミックをかぶせるなどの方法しかありませんでしたが、「アイコン(Ico®) 」は欧米で開発された特殊な薬剤で、歯を削らずにホワイトスポットを治療します。
ドリルや麻酔を使わず、痛みもほとんどなくエナメル質を再石灰化しホワイトスポットの改善を見込みます。
※写真はイメージです。効果は個人差があります。